審美的治療は機能性だけでなく、見た目も天然歯と変らない治療法
白く美しいセラミックやジルコニアなどを用いた、質の高いさまざまな審美治療をご提供致します。保険適用の白いCR(コンポジットレジン)という素材も積極的に使用しています。
また、薬剤で歯を白くするホワイトニングや、歯に付着した着色を取り除くステイン除去にも力を入れています。
審美歯科は、虫歯や歯周病など機能的に治療することに比べて、機能性に加え見た目の美しさも重視した治療方法です。
欠けてしまった歯並びや歯の色などを修復する際に、回りの歯の色と合わせて審美性(見た目)を回復させたり、黄ばんでしまった歯や歯ぐきを従来のような健康的な色に回復させるなどの治療を行うことで、自然に近い美しい口元にすることが可能です。
「歯を白くキレイにしたい」 「歯並びを整えたい」とお考えの方には、皆様のご要望をお聞きしながら治療計画を作成し、顔立ち・骨格などを詳細に検査したうえで、口元に調和した1クラス上の治療を提供します。

【さし歯による治療(左)/白いセラミツク歯の治療(右)】
審美的治療の種類について
審美は「セラミックなどを使った治療」と、「歯を薬剤で白くするホワイトニング」に大きく分けられます。なお、人工歯には修復箇所の形態(削った部分の大きさなど)によってクラウン(被せ物)とインレー(詰め物)があり、その他ブリッジ(複数歯用)や義歯(セラミツク義歯/ソフト義歯)などの種類があります。
白い人工歯の素材は、セラミックのほか歯冠用硬質レジン(メタルクリレート、無機質フィラー)なども用いております。
オールセラミック歯やハイブリッド歯などは、土台も金属を一切使用していないため、金属アレルギーなどの心配のある患者様にも安心して装着いただけます。
なおセラミック歯には、全てセラミックだけで作られている「オールセラミック」、ジルコニアのフレームの上にセラミックを焼き付けた「ジルコニアセラミック」、金属のフレームの上にセラミックを被せた「メタルボンド」などの種類があります。
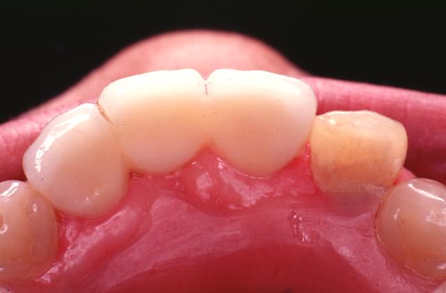
オールセラミックス(クラウン)
全く金属を使用しないので、最も天然色に近い質感・透明感が得られ、金属アレルギーの患者様も安心してお使いいただけます。

≪オールセラミックス(前歯/奥歯)≫
ジルコニアセラミック(クラウン)
ジルコニアのフレームにセラミックを焼き付けたもので、ジルコニアが強度を補強しているのでオールセラミックより強度は強く、審美性も優れています。

≪ジルコニア(前歯/奥歯)≫
メタルボンド(クラウン)
表面がセラミックで、フレームの部分に金属を使用しています。
オールセラミックと較べて審美的にはやや劣りますがとても丈夫のため、奥歯やブリッジなどにも適しています。

≪メタルボンド(前歯/奥歯)≫
エステニア(ハイブリッド:クラウン/インレー)
セラミックと樹脂を掛け合わせたハイブリッド歯(エステニア)は、質感はセラミックよりも劣りますが低コストです。

≪エステニア(前歯/奥歯)≫
比較 保険の人工歯(前装冠/インレー)
保険で可能な白い人工歯は、パラジウム金属のフレームに表面をレジンで覆っています。
日数の経過で色落ちが出てくるのと、白い保険の歯は犬歯までで奥歯は銀歯となります。

≪保険の人工歯(前歯/奥歯)≫
ホワイトニング
歯のホワイトニングは、歯の色(黄ばみや差し歯の付け根の黒いラインなど)が気になり大きな口を開けて笑えずに悩んでいる方に適して「歯の美白」とも言われます。歯を白くするために行うホワイトニングには、さまざまな方法があります。
マウスピースを歯科医院で作成し、自宅で施術を行う「ホームホワイトニング」、歯科医院ですべての施術を完結させる「オフィスホワイトニング」、両方を同時に行う「デュアルホワイトニング」などの方法がありますが、当院では白さが長持ちする「ホームホワイトニング」を提供しています。また、歯の神経が死んで黒ずんでしまったときの「ウォーキングブリーチ」や、黒ずんだ歯ぐきを元々の淡いピンク色に戻す「ガムピーリング」なども提供しています。
かず歯科クリニックでは、患者様に適したホワイトニングをご提案いたします。
ホームホワイトニング
忙しい方におすすめしたい方法で、オフィスホワイトニングと比べると白さが長持ちするのが特徴です。
【ホワイトニングのながれ(イメージ)】
マウスピースにホワイトニング剤を入れて歯にはめ、徐々に白くしていきます。
ホームホワイトニングで用いる薬剤は主に、過酸化水素ではなく過酸化尿素を含んだものです。

