インプラントは、しっかりとした技術力を擁する治療法です
東京医科歯科大学のインプラント医による治療を行っています。安全で確実なインプラント治療をご提供していますので、お気軽にお問い合わせください。
インプラントは、歯が抜けてしまった部分に人工歯根を埋入し人工歯をかぶせる治療法で、インプラントを手術によって顎骨に埋め込みますが、顎の骨としっかりと結合・固定されるため、健康な自分の歯のようにしっかりと噛むことができるように機能性が回復します。
現在は、インプラントを取り扱う歯科医院が増えましたが、確実にそして安全に治療を進めるには、高い技術力を要します。かず歯科クリニックでは、院長をはじめとして豊富な知識と技術で「噛めるようになって良かった!」と思っていただける治療を提供してまいります。
なお、インプラントは、失ったが1本から数本のケース、全歯が無く総入れ歯が合わないようなケースなどに対応しております。
丁寧な説明と皆様に喜んでいただける安全な治療を提供いたしますので、お気軽にご相談ください。
※インプラントは保険外診療となります。
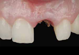
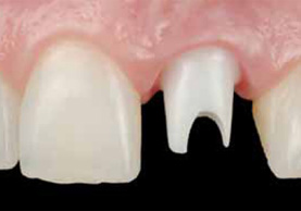
【治療前→支台部装着→治療後】
インプラントのながれ
インプラントは詳細にカウンセリングを行ってから、下図のように、 精密検査→埋入手術→結合期間(経過観察)→支台部取付→人工歯の装着 というステップを患者様の状態を確認しながら行ないます。手術時間も本数が少ないときは、歯(親知らず)を抜く程度の時間で済み、入院の必要もありません。
インプラントと骨が完全に結合するのを待つ必要があるので、治療終了までは数ヶ月を要します。
治療の終了後は、長くお使いいただくために定期検診を推奨しています。
【歯を失った状態→インプラントの埋入手術→骨と結合させる→支台部取付→人工歯装着】
インプラントを確実にする骨再生技術
歯が抜けた部分をそのままにしておくと両側の歯が寄ってくるだけでなく、次第に抜けた箇所の顎の骨が吸収されていき骨が無くなってしまいます。骨の厚みが無くなると、一般的にはインプラント手術は難しいと言われています。
しかし当院では、骨の厚みが少ない方に対しても人工的に骨を追加することで、インプラントを行えることができるようになりました。
これらの増骨手術を患者様の状態に応じて行い、骨がしっかりと作られてから、インプラントを埋め込んでいきます。
【GBR/スプリット/サイナスリフト/ソケットリフト】
GBR
骨を増やしたい場所に骨の元となる血液を溜め人工膜で覆って骨をつくります
スプリット
骨幅を横に押し広げ骨幅が広がったところにインプラントを埋入する手術方法
サイナスリフト
骨補填材などで上顎洞を持ち上げて、インプラントを埋入する手術方法
ソケットリフト
骨の高さが足りない場合は、上顎洞を持ち上げて、インプラントを埋入する手術方法

